Australian universities matter because of what matters to all of us.
More from Education
Education
Major Mash
College Majors, Online Degrees, High Paying Careers, Graduate College Fast
Education
Amy Biehl High School
Courage. Scholarship. Community.
Education
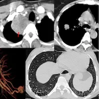
CT Chest Review
Regular reviews of CT chests with cases, snippets and lectures
Education
Bible Analysis
BibleAnalysis.org is a comprehensive resource dedicated to exploring the deep truths of Scripture through thoughtful questions, insightful answers, and in-depth blog posts.
122 subscribers